Interventi Video: Scienza e Tecnica Chirurgica Implantare
Benvenuti nella nostra sezione dedicata agli interventi video, dove condividiamo riprese a tema scientifico che illustrano le tecniche chirurgiche implantari avanzate eseguite presso il nostro centro specialistico di implantologia dentale a Padova. Questi video hanno lo scopo di fornire informazioni dettagliate sulla nostra pratica e dimostrare le competenze tecniche della nostra equipe.
Video di Divulgazione Scientifica
ATTENZIONE !!! QUESTI INTERVENTI NON FANNO PARTE DEI PREZZI A PACCHETTO PROPOSTI IN QUESTO SITO WEB
Implantologia senza osso – Questi interventi video servono solo per far apprendere ai pazienti le nostre vaste competenze, queste tecniche chirurgiche non sono in nessun modo inserite nei pacchetti forfettari che questo sito propone, queste soluzioni solo altamente complesse e specialistiche con risultati altamente preformanti
Implantologia a carico immediato senza osso
Impianti dentali fissi senza osso
Cosa implica il non sottoporsi ad intervento di implantologia dentale per un paziente atrofico?
Titolo: Implicazioni Cliniche della Mancanza di Osso Mascellare Superiore e l’Importanza della Riabilitazione Dentale con Impianti
Introduzione:
La mancanza di osso mascellare superiore è una condizione che può avere significative implicazioni sulla salute orale e generale di un individuo. Questo articolo esplora le patologie associate alla mancanza di osso mascellare superiore e l’importanza della riabilitazione dentale fissa con impianti nella prevenzione di tali complicazioni.
Patologie Associate alla Mancanza di Osso Mascellare Superiore:
- Malocclusioni e Problemi Occlusali: La mancanza di supporto osseo può portare a cambiamenti nella posizione dei denti adiacenti, causando malocclusioni e problemi occlusali.
- Disfunzioni Articolari Temporomandibolari (DTM): La perdita di supporto osseo può influire sul corretto allineamento delle articolazioni temporomandibolari, portando a dolori e disfunzioni.
- Problemi Respiratori: La riduzione dell’altezza ossea nella zona mascellare superiore può contribuire a problemi respiratori, specialmente durante il sonno.
- Riduzione del Volume del Seno Mascellare: La mancanza di osso mascellare può causare il riassorbimento del seno mascellare, con potenziali complicazioni sinusali.
- Alterazioni Estetiche del Profilo Facciale: La mancanza di osso può portare a alterazioni nell’estetica del viso, con perdita di volume e definizione.
Conseguenze della Non Riabilitazione Dentale con Impianti:
- Ridotta Funzionalità Masticatoria: Senza la riabilitazione dentale fissa con impianti, i pazienti possono sperimentare una ridotta capacità di masticare correttamente, influenzando l’alimentazione e la digestione.
- Spostamento dei Denti Adiacenti: La mancanza di ancoraggio osseo può causare lo spostamento dei denti adiacenti, portando a malocclusioni e instabilità.
- Deterioramento dell’Estetica Dentale e Facciale: La mancanza di una solida base ossea può contribuire al deterioramento dell’estetica dentale e facciale nel tempo.
- Aumento del Rischio di Infezioni: L’area priva di impianti può diventare un terreno fertile per batteri e infezioni, aumentando il rischio di complicazioni orali.
Importanza della Riabilitazione Dentale con Impianti:
- Restaurare la Funzionalità: Gli impianti dentali forniscono un ancoraggio stabile per le protesi, ripristinando la funzionalità masticatoria.
- Preservare la Struttura Ossea: La presenza di impianti aiuta a mantenere la densità ossea, prevenendo il riassorbimento e le complicazioni associate.
- Migliorare l’Estetica e la Sicurezza: La riabilitazione dentale con impianti offre risultati estetici naturali e una maggiore sicurezza nelle attività quotidiane.
Conclusioni:
La mancanza di osso mascellare superiore può portare a varie patologie e complicazioni. La riabilitazione dentale con impianti emerge come un approccio essenziale per prevenire tali conseguenze, garantendo la stabilità, la funzionalità e l’estetica a lungo termine. La consulenza tempestiva e il piano di trattamento personalizzato sono fondamentali per affrontare efficacemente questa condizione e migliorare la qualità della vita dei pazienti.
Contribuisci alla Divulgazione
Se sei interessato a partecipare alla divulgazione scientifica, condividi la tua storia o chiedi di partecipare ai nostri prossimi video informativi. Vogliamo fornire un’opportunità educativa e informativa a tutti coloro che sono interessati alla chirurgia implantare.
Grazie per esplorare la nostra sezione video scientifici e approfondimenti tecnici. Il nostro impegno è promuovere la consapevolezza e la comprensione delle pratiche implantari avanzate per la salute dentale.
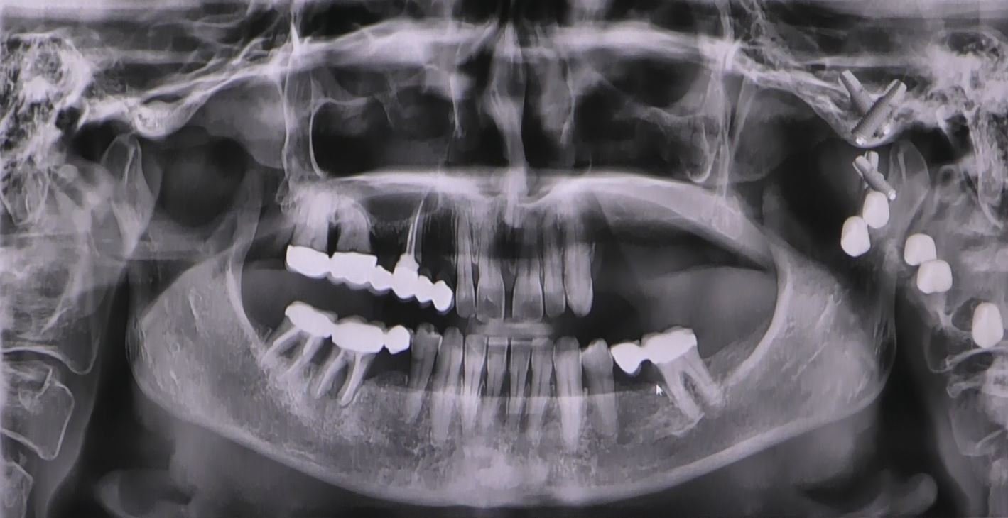
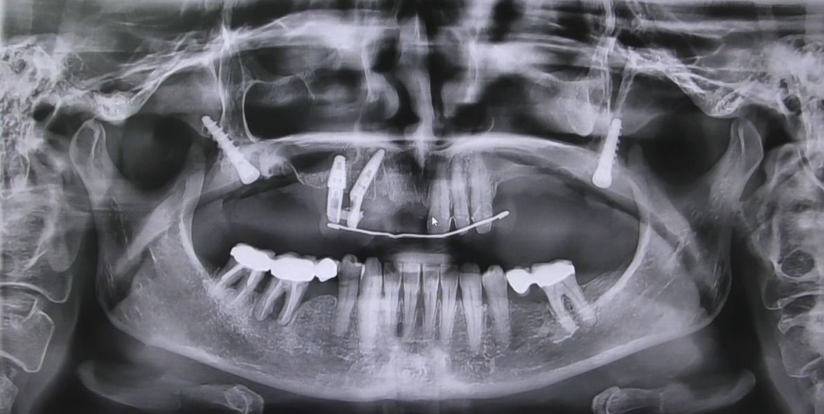
Terminiamo con un video intervento di Sottoperiostei:
Innovazioni in Implantologia Sottoperiostea: Riabilitazione Dentale Accelerata per Pazienti Atrofici
Introduzione:
L’implantologia sottoperiostea si presenta come una soluzione innovativa per pazienti con gravi casi di atrofia ossea. Questa tecnica avanzata offre un approccio chirurgico minimamente invasivo, accelerando i tempi di recupero e consentendo il carico immediato degli impianti dentali. Nel seguente articolo, esploreremo la procedura e il suo impatto positivo su un paziente con estrema atrofia ossea.
La Sfida dell’Atrofia Ossea Severa:
L’atrofia ossea severa rappresenta una sfida notevole per gli interventi di implantologia tradizionali. La mancanza di supporto osseo sufficiente può rendere difficile o impossibile il posizionamento di impianti dentali in modo convenzionale.
La Soluzione dell’Implantologia Sottoperiostea:
L’implantologia sottoperiostea supera questa sfida con un approccio chirurgico innovativo. In questa procedura, gli impianti sono posizionati direttamente sulla superficie dell’osso mascellare, eliminando la necessità di inserirli all’interno dell’osso. Questo riduce il trauma chirurgico e permette al paziente di beneficiare del carico immediato.
Il Caso del Paziente Atrofico:
Il nostro paziente, affetto da grave atrofia ossea mascellare, è stato selezionato per sottoporsi a questa procedura avanzata. La valutazione preoperatoria accurata ha guidato la pianificazione, assicurando che la tecnica fosse adattata alle specifiche esigenze anatomiche del paziente.
Fasi dell’Intervento:
- Valutazione Radiografica: Una valutazione dettagliata ha fornito informazioni cruciali sulla quantità di osso disponibile e sulla strategia di posizionamento degli impianti.
- Procedura Chirurgica Minimamente Invasiva: L’intervento è stato eseguito con un approccio minimamente invasivo, riducendo il trauma e accelerando il periodo di guarigione.
- Posizionamento degli Impianti Sottoperiostei: Gli impianti sono stati posizionati direttamente sulla superficie dell’osso mascellare, garantendo stabilità e supporto adeguati.
- Carico Immediato: Grazie all’implantologia sottoperiostea, il paziente ha beneficiato del carico immediato, ottenendo denti fissi funzionali in un tempo incredibilmente breve.
Risultati e Prospettive:
Il paziente, dopo un periodo di recupero relativamente breve, ha ripristinato la funzionalità e l’estetica del sorriso. Questo caso dimostra come l’implantologia sottoperiostea possa essere una soluzione efficace anche per pazienti con atrofia ossea estrema, offrendo risultati duraturi e soddisfacenti.
Conclusioni:
L’implantologia sottoperiostea rappresenta un notevole passo avanti nell’affrontare le sfide dell’atrofia ossea severa. La sua capacità di fornire una riabilitazione dentale accelerata con il carico immediato degli impianti offre una nuova speranza per pazienti con complessità anatomiche. L’evoluzione continua in questo campo promette di ampliare le opzioni di trattamento, migliorando la qualità della vita dei pazienti affetti da atrofia ossea.













































